Câu hỏi:
Chào bác sĩ, trước răng cửa của tôi bị thưa, bác sĩ trám chỗ đó lại nên phải lấy tủy hết 4 cái răng. Hiện giờ 4 cái răng thưa đó đã bị sâu và đang lây qua các răng kế bên nên bị hỏng rất nhiều , tôi muốn bọc lại không biết được không, mong bác sĩ tư vấn giúp tôi.
( Minh Thuận-Bình Thạnh )
Trả lời:
Chào bạn Minh Thuận , mình nên đến kiểm tra sớm để điều trị tình trạng sâu răng nặng hơn và tránh tình trạng lây lan rộng bạn nhé. Răng đã lấy tủy mình vẫn có thể bọc răng sứ , chức năng của răng sứ là giúp bảo vệ răng, chân răng thật và tạo hình răng.
Thứ Năm, 20 tháng 10, 2016
Điều cần biết khi niềng răng
Câu hỏi:
Chào bác sĩ, cho tôi hỏi bao nhiêu tuổi thì niềng răng được ạ , chi phí hết bao nhiêu và khi nào mới tháo ra được. Mong bác sĩ tư vấn giúp tôi.
Chào bạn, độ tuổi từ 12 trở lên là mình có thể niềng răng được rồi bạn nhé, chi phí niềng răng khoảng 25.000.000Đ/Hàm và thời giang niềng răng khoảng từ 1-2 năm tùy vào tình trạng xương hàm của mỗi người bạn nhé.
Cấy ghép Implant xóa bỏ răng bị mất lâu năm
Câu hỏi:
Chào bác sĩ, tôi bị mất 2 cái răng trước 5 năm rồi, đã bị tiêu xương và hai răng kế bên cũng đang bị sâu khá nặng. Có cách nào điều trị tốt không ạ. Cám ơn bác sĩ.
Trả lời:
Chào bạn , mất răng bạn nên trồng răng mới để có thể ăn nhai chắc chắn hơn . Phương pháp tối ưu nhất để trồng răng giả hiện nay là cấy ghép implant . Sau khi cấy, trụ implant sẽ hoàn toàn như răng thật và thời gian sử dụng là vĩnh viễn. Nếu tình trạng tiêu xương xảy ra thì mình sẽ cấy thêm xương bạn nha. Đồng thời bạn cũng nên điều trị răng sâu một cách kịp thời , tránh để lâu dễ dẫn đến mất luôn răng, bạn có thể bọc răng sứ để bảo vệ răng .
Chào bác sĩ, tôi bị mất 2 cái răng trước 5 năm rồi, đã bị tiêu xương và hai răng kế bên cũng đang bị sâu khá nặng. Có cách nào điều trị tốt không ạ. Cám ơn bác sĩ.
Trả lời:
Chào bạn , mất răng bạn nên trồng răng mới để có thể ăn nhai chắc chắn hơn . Phương pháp tối ưu nhất để trồng răng giả hiện nay là cấy ghép implant . Sau khi cấy, trụ implant sẽ hoàn toàn như răng thật và thời gian sử dụng là vĩnh viễn. Nếu tình trạng tiêu xương xảy ra thì mình sẽ cấy thêm xương bạn nha. Đồng thời bạn cũng nên điều trị răng sâu một cách kịp thời , tránh để lâu dễ dẫn đến mất luôn răng, bạn có thể bọc răng sứ để bảo vệ răng .
Răng khôn thực chất rất ngu
Câu hỏi:
Chào bác sĩ, tôi mọc răng khôn lâu rồi , nhưng tất cả 4 cái răng khôn đều bị mọc lệch và có 1 cái mọc đè qua răng kế bên làm ảnh hưởng đến sức nhai, nếu như nhổ thì tôi khỏi nhai luôn vì đã mất đi 2 cái răng hai bên , chưa có kinh phí đi trồng lại. Bác sĩ tư vấn giúp tôi nên phải làm gì? Cảm ơn bác sĩ.
(Anh Thư-Đồng Nai)
Trả lời:
Chào bạn Anh Thư, răng khôn nếu mọc ngang làm ảnh hưởng đến các răng bên cạnh thì mình nên nhổ bỏ đi nhé vì nếu bạn cứ tiếp tục để thì sẽ làm hư luôn răng kế bên. Răng khôn thật ra không giữ chức năng ăn nhai trên cung hàm, nó là chiếc răng dư nên thông thường sẽ bị nhổ bỏ. Ở những răng bị mất bạn nên có kế hoạch trồng lại răng mới để đảm bảo chức năng ăn nhai tốt, tránh tình trạng tiêu xương , thậm chí còn làm các răng còn lại bị xô lệch.
Chào bác sĩ, tôi mọc răng khôn lâu rồi , nhưng tất cả 4 cái răng khôn đều bị mọc lệch và có 1 cái mọc đè qua răng kế bên làm ảnh hưởng đến sức nhai, nếu như nhổ thì tôi khỏi nhai luôn vì đã mất đi 2 cái răng hai bên , chưa có kinh phí đi trồng lại. Bác sĩ tư vấn giúp tôi nên phải làm gì? Cảm ơn bác sĩ.
(Anh Thư-Đồng Nai)
Răng khôn mọc lệch
Trả lời:
Chào bạn Anh Thư, răng khôn nếu mọc ngang làm ảnh hưởng đến các răng bên cạnh thì mình nên nhổ bỏ đi nhé vì nếu bạn cứ tiếp tục để thì sẽ làm hư luôn răng kế bên. Răng khôn thật ra không giữ chức năng ăn nhai trên cung hàm, nó là chiếc răng dư nên thông thường sẽ bị nhổ bỏ. Ở những răng bị mất bạn nên có kế hoạch trồng lại răng mới để đảm bảo chức năng ăn nhai tốt, tránh tình trạng tiêu xương , thậm chí còn làm các răng còn lại bị xô lệch.
Răng không khớp với hàm cắn thì phải làm gì?
Câu hỏi:
Chào bác sĩ, hàm trên của tôi có 2 cái răng bị hướng vào trong, giờ tôi muốn cho nó bằng với nhau thì làm cách nào, quy trình làm có đau không , thời gian sử dụng được bao lâu.Mong bác sĩ tư vấn giúp em ạ.
(Công Tài- Tây Ninh)
Trả lời:
Chào bạn Công Tài, răng bị hướng vào trong như vậy mình có thể làm bằng lại bằng cách bọc răng sứ. Bọc răng sứ có nghĩa là sẽ mài đi lớp men bên ngoài của răng thật tạo thành trụ răng tỷ lệ chuẩn sau đó úp mão sứ mới lên để điều chỉnh lại cho bạn về hình dáng và màu sắc..., răng sứ sẽ được cân chỉnh sao cho màu sắc tương đồng nhất với màu răng thật của bạn. Thời gian sử dụng thì nếu bạn chọn loại sứ tốt , thời gian sử dụng lên tới 20 năm thậm chí là vĩnh viễn nếu như bạn có chế độ chăm sóc tốt.
Chào bác sĩ, hàm trên của tôi có 2 cái răng bị hướng vào trong, giờ tôi muốn cho nó bằng với nhau thì làm cách nào, quy trình làm có đau không , thời gian sử dụng được bao lâu.Mong bác sĩ tư vấn giúp em ạ.
(Công Tài- Tây Ninh)
Trả lời:
Chào bạn Công Tài, răng bị hướng vào trong như vậy mình có thể làm bằng lại bằng cách bọc răng sứ. Bọc răng sứ có nghĩa là sẽ mài đi lớp men bên ngoài của răng thật tạo thành trụ răng tỷ lệ chuẩn sau đó úp mão sứ mới lên để điều chỉnh lại cho bạn về hình dáng và màu sắc..., răng sứ sẽ được cân chỉnh sao cho màu sắc tương đồng nhất với màu răng thật của bạn. Thời gian sử dụng thì nếu bạn chọn loại sứ tốt , thời gian sử dụng lên tới 20 năm thậm chí là vĩnh viễn nếu như bạn có chế độ chăm sóc tốt.
Thứ Tư, 19 tháng 10, 2016
Răng đã lấy tủy rồi thì bọc răng sứ có đâu không
Câu hỏi:
Chào bác sĩ, răng tôi đã lấy tủy rồi thì có bọc răng sứ được không,có đau không và chi phí hết bao nhiêu ạ. Cám ơn bác sĩ.
Trả lời:
Chào bạn, răng lấy tủy rồi thì mình nên bọc sứ lại để có thể giữ gìn được chân răng thật tốt hơn, với tay nghề bác sĩ cao và máy móc hiện đại thì quá trình bọc răng sứ sẽ không đau. Và chi phí răng sứ có nhiều loại , những loại răng sứ nha khoa có :
_Răng sứ thường 1,5tr/răng
_Răng sứ titan 2,8tr/răng
_Răng toàn sứ Zirconia 5tr/răng, bảo hành 5 năm
_Răng sứ Cercon Ht 6,5tr/răng ,bảo hành 7 năm, bạn có thể chọn loại sứ có giá phù hợp với bạn nhất nhé.
Răng sứ Zirconia sử dụng được bao lâu
Câu hỏi:
Chào bác sĩ ,răng cửa của tôi bị siết đen tôi đang muốn đi làm răng sứ, có nghe nói răng sứ Zirconia tốt mà không biết sử dụng được bao lâu, có dễ vỡ khi ăn không và làm mất bao nhiêu thời gian để hoàn tất. Mong bác sĩ trả lời giúp. Cám ơn bác sĩ.
(Thanh Phương-Tiền Giang)
Trả lời:
Chào bạn Thanh Phương, răng sứ Zirconia là loại răng sứ cao cấp nhất, nó chất lượng cả về hình dáng , màu sắc và độ bền chắc cao nên sẽ không có vấn đề bị vỡ khi ăn bạn nhé, răng sứ Zirconia sử dụng được 20 năm và sẽ sử dụng được lâu hơn nếu bạn giữ gìn ,vệ sinh răng miệng đúng cách. Thời gian làm răng sẽ mất 2 ngày của bạn thôi.
Chào bác sĩ ,răng cửa của tôi bị siết đen tôi đang muốn đi làm răng sứ, có nghe nói răng sứ Zirconia tốt mà không biết sử dụng được bao lâu, có dễ vỡ khi ăn không và làm mất bao nhiêu thời gian để hoàn tất. Mong bác sĩ trả lời giúp. Cám ơn bác sĩ.
(Thanh Phương-Tiền Giang)
Trả lời:
Chào bạn Thanh Phương, răng sứ Zirconia là loại răng sứ cao cấp nhất, nó chất lượng cả về hình dáng , màu sắc và độ bền chắc cao nên sẽ không có vấn đề bị vỡ khi ăn bạn nhé, răng sứ Zirconia sử dụng được 20 năm và sẽ sử dụng được lâu hơn nếu bạn giữ gìn ,vệ sinh răng miệng đúng cách. Thời gian làm răng sẽ mất 2 ngày của bạn thôi.
Thứ Ba, 18 tháng 10, 2016
Đừng lo vấn đề răng mọc chồng lên nhau nữa nhé
Câu hỏi:
Chào bác sĩ, 2 cái răng mọc chồng lên nhau thì làm cách nào được và mức phí là bao nhiêu ạ.Cám ơn bác sĩ.
(Xuân Dịu-Vũng Tàu)
Trả lời:
Chào bạn Xuân Dịu, khả năng bạn cần nhổ chiếc răng mọc bên trong đi, sau đó có thể niềng hoặc bọc răng sứ để điều chỉnh lại cung răng bạn nhé. Chi phí niềng răng là 25.000.000Đ/Hàm và bọc răng sứ chi phí từ 1,5 triệu - 6,5 triệu/răng tùy thuộc vào loại sứ mà bạn chọn.
Chào bác sĩ, 2 cái răng mọc chồng lên nhau thì làm cách nào được và mức phí là bao nhiêu ạ.Cám ơn bác sĩ.
(Xuân Dịu-Vũng Tàu)
Trả lời:
Chào bạn Xuân Dịu, khả năng bạn cần nhổ chiếc răng mọc bên trong đi, sau đó có thể niềng hoặc bọc răng sứ để điều chỉnh lại cung răng bạn nhé. Chi phí niềng răng là 25.000.000Đ/Hàm và bọc răng sứ chi phí từ 1,5 triệu - 6,5 triệu/răng tùy thuộc vào loại sứ mà bạn chọn.
Răng mọc không đều - vàng màu thì phải làm sao?
Câu hỏi:
Chào bác sĩ, tôi có vấn đề về hàm răng của mình nó không đều và không trắng, tôi phải làm thế nào tôi đã nhiều lần làm trắng răng mà vẫn bị đốm không thể trắng lên được. Mong bác sĩ tư vấn giúp.
(Minh Tuấn-Hà Nội)
Trả lời:
Chào bạn Minh Tuấn, bạn đừng lo lắng nha, răng mọc không đều, không thể làm trắng răng bằng phương pháp làm trắng, để răng đẹp hơn bạn nên bọc răng sứ khoảng 10 cái trên và 10 cái dưới sẽ đẹp bạn nhé . Bọc răng sứ vừa chỉnh được cung hàm tròn đều, vừa chỉnh được hình dáng và màu sắc cho răng mình nữa.
Chào bác sĩ, tôi có vấn đề về hàm răng của mình nó không đều và không trắng, tôi phải làm thế nào tôi đã nhiều lần làm trắng răng mà vẫn bị đốm không thể trắng lên được. Mong bác sĩ tư vấn giúp.
(Minh Tuấn-Hà Nội)
Răng mọc không đều,vàng màu - Bọc răng sứ
Trả lời:
Chào bạn Minh Tuấn, bạn đừng lo lắng nha, răng mọc không đều, không thể làm trắng răng bằng phương pháp làm trắng, để răng đẹp hơn bạn nên bọc răng sứ khoảng 10 cái trên và 10 cái dưới sẽ đẹp bạn nhé . Bọc răng sứ vừa chỉnh được cung hàm tròn đều, vừa chỉnh được hình dáng và màu sắc cho răng mình nữa.
Thứ Sáu, 14 tháng 10, 2016
Bọc răng sứ có phải nhổ răng
Câu hỏi:
Chào bác sĩ , cho tôi hỏi bọc răng sứ có phải nhổ đi răng thật không , công đoạn làm có đau không và mất bao nhiêu tiền , răng tôi không đều và bị vàng do thuốc kháng sinh tôi đang muốn cải thiện nó bằng cách bọc răng sứ có được không thưa bác sĩ . Mong bác sĩ tư vấn giúp tôi.
(Tú Anh-Biên Hòa)
Bọc răng sứ
Trả lời:
Chào bạn Tú Anh, bọc răng sứ không nhổ răng bạn nhé. Quy trình bọc răng sứ như sau: răng bạn sẽ được mài bớt lớp sườn bên ngoài , sau đó bác sĩ sẽ chụp mão sứ lên . Mão sứ này sẽ bảo vệ răng thật bên trong và căn chỉnh lại kích thước, vị trí nhằm phục hình răng trắng đều đẹp và nắn chỉnh thẳng hàng với toàn cung hàm đều đặn , xóa đi các khuyết điểm như mòn răng, mẻ, thưa, hô, lộn xộn, nhiễm màu. Vì chỉ mài lớp sườn bên ngoài răng để có không gian chụp mão sứ mới trắng đẹp cứng chắc lên nên sẽ không đau. Chi phí sẽ tùy vào sự lựa chọn loại răng phù hợp và vừa túi tiền của bạn nhất.
Chào bác sĩ , cho tôi hỏi bọc răng sứ có phải nhổ đi răng thật không , công đoạn làm có đau không và mất bao nhiêu tiền , răng tôi không đều và bị vàng do thuốc kháng sinh tôi đang muốn cải thiện nó bằng cách bọc răng sứ có được không thưa bác sĩ . Mong bác sĩ tư vấn giúp tôi.
(Tú Anh-Biên Hòa)
Bọc răng sứ
Trả lời:
Chào bạn Tú Anh, bọc răng sứ không nhổ răng bạn nhé. Quy trình bọc răng sứ như sau: răng bạn sẽ được mài bớt lớp sườn bên ngoài , sau đó bác sĩ sẽ chụp mão sứ lên . Mão sứ này sẽ bảo vệ răng thật bên trong và căn chỉnh lại kích thước, vị trí nhằm phục hình răng trắng đều đẹp và nắn chỉnh thẳng hàng với toàn cung hàm đều đặn , xóa đi các khuyết điểm như mòn răng, mẻ, thưa, hô, lộn xộn, nhiễm màu. Vì chỉ mài lớp sườn bên ngoài răng để có không gian chụp mão sứ mới trắng đẹp cứng chắc lên nên sẽ không đau. Chi phí sẽ tùy vào sự lựa chọn loại răng phù hợp và vừa túi tiền của bạn nhất.
Răng bị lệch phải làm gì?
Câu hỏi:
Chào bác sĩ , em là sinh viên mới ra trường nhưng chưa có việc làm vì ngành em chọn là phải thường xuyên giao tiếp với khách hàng mà răng em thì không đồng đều, em cảm thấy buồn và rất thất vọng vì hàm răng xấu mà em không có việc làm , bây giờ em muốn cải thiện lại cho đẹp vậy có cách nào không ạ.
(Hoàng Trinh-Đồng Nai)
Trả lời:
Bọc răng sứ Niềng răng
Chào bạn Hoàng Trinh, bạn đừng quá lo lắng về vấn đề răng lệch bạn nhé ,tùy thuộc vào độ lệch của răng , nếu răng lệch với số lượng ít bạn có thể bọc răng sứ , còn lệch nguyên hàm thì mình niềng răng sẽ tốt nhất. Bạn có thể đến nha khoa để được thăm khám và tư vấn cụ thể hơn ,để nhanh có hàm răng bạn mong đợi bạn nhé.
Chào bác sĩ , em là sinh viên mới ra trường nhưng chưa có việc làm vì ngành em chọn là phải thường xuyên giao tiếp với khách hàng mà răng em thì không đồng đều, em cảm thấy buồn và rất thất vọng vì hàm răng xấu mà em không có việc làm , bây giờ em muốn cải thiện lại cho đẹp vậy có cách nào không ạ.
(Hoàng Trinh-Đồng Nai)
Trả lời:
Bọc răng sứ Niềng răng
Chào bạn Hoàng Trinh, bạn đừng quá lo lắng về vấn đề răng lệch bạn nhé ,tùy thuộc vào độ lệch của răng , nếu răng lệch với số lượng ít bạn có thể bọc răng sứ , còn lệch nguyên hàm thì mình niềng răng sẽ tốt nhất. Bạn có thể đến nha khoa để được thăm khám và tư vấn cụ thể hơn ,để nhanh có hàm răng bạn mong đợi bạn nhé.
Thứ Tư, 12 tháng 10, 2016
Viêm lợi, tụt lợi có chữa được không?
Câu hỏi:
Chào bác sĩ, tôi bị viêm lợi , tụt lợi có chữa được không bác sĩ.
( Ngọc Hà-Tiền Giang)
Trả lời:
Chào bạn Ngọc Hà, tình trạng của bạn chữa được nha . Viêm lợi sẽ được làm sạch phần lợi , dùng thuốc chữa viêm. Tụt lợi nếu ít có thể trám lại , nhiều thì cần ghép vạt lợi. Cả hai trường hợp bạn đều phải tới nha khoa khám mới biết được chính xác. Gía chỉ vài trăm nên bạn hãy làm sớm để không bị ảnh hưởng nặng hơn bạn nhé
Mất răng lâu năm có trồng implant được không?
Câu hỏi:
Chào bác sĩ , tôi bị mất hàm 8 răng nhiều năm nay, nếu làm răng mới tôi có cần ghép xương không và sẽ mất bao nhiêu tiền .
(Quang Dũng-Q8)
Trả lời:
Chào Quang Dũng, nếu tình trạng răng của bạn yếu, khung xương bị tiêu thì mình phải ghép xương bạn nha.
Trước khi cấy trụ implant bác sĩ sẽ thực hiện ghép xương nhân tạo, giúp phục hồi lại hàm , cấu trúc gương mặt tạo đủ diện tích nâng đỡ cây răng implant mới. Hiện trụ implant Hàn Quốc giá 20tr/răng nhé bạn. Bạn hãy tới nha khoa để được thăm khám và tư vấn kĩ hơn bạn nhé.
Chào bác sĩ , tôi bị mất hàm 8 răng nhiều năm nay, nếu làm răng mới tôi có cần ghép xương không và sẽ mất bao nhiêu tiền .
(Quang Dũng-Q8)
Trả lời:
Chào Quang Dũng, nếu tình trạng răng của bạn yếu, khung xương bị tiêu thì mình phải ghép xương bạn nha.
Trước khi cấy trụ implant bác sĩ sẽ thực hiện ghép xương nhân tạo, giúp phục hồi lại hàm , cấu trúc gương mặt tạo đủ diện tích nâng đỡ cây răng implant mới. Hiện trụ implant Hàn Quốc giá 20tr/răng nhé bạn. Bạn hãy tới nha khoa để được thăm khám và tư vấn kĩ hơn bạn nhé.
Thứ Ba, 11 tháng 10, 2016
Bọc răng sứ Zirconia không lo khác biệt
Câu hỏi:
Chào bác sĩ , em muốn bọc sứ 2 cái răng cửa , nhưng em lo lắng không biết bọc vào có khác màu răng thật không và công đoạn làm như thế nào ạ.
(Trương Mây-Biên Hòa)
Trả lời:
Chào bạn Trương Mây, bạn yên tâm vì màu răng sứ được xử lý sao cho tiệp với màu răng thật toàn hàm nên dùng mắt thường không thể phân biệt răng sứ và răng thường được nhé.
Quy trình bọc răng sứ thì răng bạn sẽ bị mài bớt , sau đó bác sĩ sẽ chụp mão sứ lên. Mão sứ này sẽ bảo vệ răng thật bên trong và căn chỉnh lại kích thước, vị trí nhằm phục hình răng trắng đẹp và nắn chỉnh hàm với toàn cung hàm đều đặn , xóa đi các khuyết điểm như mòn răng - mẻ - thưa - hô - lộn xộn - nhiễm màu.
Chủ Nhật, 9 tháng 10, 2016
Răng bị vàng và ố màu bạn đừng lo đã có cách
Câu hỏi:
Chào bác sĩ , răng em có màu hơi vàng, bệnh viện có cách nào làm trắng răng không ạ, nếu làm thì trắng được bao lâu ? Cám ơn bác sĩ.
(Ngọc Anh - Biên Hòa)
Trả lời:
Chào Ngọc Anh , mình có thể tẩy trắng răng để cải thiện bạn nhé . Với công nghệ tẩy trắng răng 3D số 1 Hoa Kỳ , có giá 3 triệu thì quá trình thực hiện khoảng 45p - răng bạn sẽ hoàn toàn trắng sáng . Hoặc bạn có thể tẩy trắng răng bằng phương pháp ngậm máng tẩy tại nhà với thời gian làm từ 7-10 ngày có giá 1,5 triệu. Kết quả tẩy trắng răng kéo dài ít nhất 2-3 năm, nếu bạn chăm sóc răng miệng tốt có thể bảo vệ độ sáng lâu hơn vậy nữa.
Chào bác sĩ , răng em có màu hơi vàng, bệnh viện có cách nào làm trắng răng không ạ, nếu làm thì trắng được bao lâu ? Cám ơn bác sĩ.
(Ngọc Anh - Biên Hòa)
Trả lời:
Tẩy trắng răng 3D
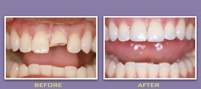
Cách phục hình răng bị mẻ nhanh chóng nhất bạn đã biết chưa
Câu hỏi:
Chào bác sĩ , mình bị mẻ một cái răng cửa hàm trên , mình muốn đi bọc lại , không biết chi phí răng sứ như thế nào và mình tới bệnh viện có thể yêu cầu bác sĩ Trình làm được không ạ. Cám ơn.
(Bích Phương - Gia Lai).
Trả lời:
Chào bạn , tình trạng răng mẻ của bạn có thể phục hình nhanh chóng bạn nhé , bạn chỉ cần khoảng 2 buổi , mỗi buổi 40p là hoàn tất.
Giá các loại răng sứ tại bệnh viện như sau:
-Răng sứ thường 1,5tr/răng
-Răng sứ titan 2,8tr/răng
-Răng toàn sứ Zirconia 5tr/răng , bảo hành 5 năm
-Răng sứ Cercon Ht 6,5tr/răng , bảo hành 7 năm , bạn có thể chọn loại sứ có giá phù hợp với bạn nhất nhé. Việc yêu cầu bác sĩ Trình thì bạn cứ đến bệnh viện thăm khám sau đó bệnh viện sẽ sắp xếp bác sĩ Trình điều trị cho bạn .
Thứ Năm, 6 tháng 10, 2016
Bọc răng sứ áp dụng cho loại răng nào là hợp lí
Câu hỏi:
Chào bác sĩ , cho em hỏi em bị gãy ngang nữa cái răng cửa, em phải làm sao để có thể có một răng mới nguyên vẹn ạ. Cám ơn bác sĩ.
(Hoàng Hà - Ninh Thuận)
Trả lời:
Chào bạn , gãy ngang nữa răng cửa bạn có thể bọc răng sứ để phục hình lại . Quy trình bọc răng sứ sẽ như sau : răng bạn sẽ được mài bớt , sau đó sẽ được chụp mão sứ lên . Mão sứ này sẽ bảo vệ răng thật bên trong và căn chỉnh lại kích thước , vị trí nhằm phục hình răng trắng đẹp và nắn chỉnh thẳng hàng với toàn cung hàm đều đặn , xóa đi khuyết điểm răng gãy mẻ.
Chào bác sĩ , cho em hỏi em bị gãy ngang nữa cái răng cửa, em phải làm sao để có thể có một răng mới nguyên vẹn ạ. Cám ơn bác sĩ.
(Hoàng Hà - Ninh Thuận)
Trả lời:
Chào bạn , gãy ngang nữa răng cửa bạn có thể bọc răng sứ để phục hình lại . Quy trình bọc răng sứ sẽ như sau : răng bạn sẽ được mài bớt , sau đó sẽ được chụp mão sứ lên . Mão sứ này sẽ bảo vệ răng thật bên trong và căn chỉnh lại kích thước , vị trí nhằm phục hình răng trắng đẹp và nắn chỉnh thẳng hàng với toàn cung hàm đều đặn , xóa đi khuyết điểm răng gãy mẻ.
Làm răng bắt cầu cách phục hình răng mất cho bạn
Câu hỏi:
Chào bác sĩ, em mất 1 cái răng thì gắn mấy cầu răng và giá bao nhiêu vậy ạ.
(Đinh Hương - Tây Ninh)
Trả lời:
Chào bạn Đinh Hương, bạn mất một răng thì làm cầu 3 răng bạn nhé. Bác sĩ sẽ khám và xem xét 2 răng kề răng mất của bạn có chắc khỏe không,để có thể làm cầu răng , nếu 2 răng bắt cầu yếu thì phải trồng implant bạn ạ . Để biết chính xác tình trạng răng và cho bạn biết rõ thì bạn nên đến trực tiếp nha khoa để bs tư vấn và khám cho bạn ạ.
Giá răng sứ tại nha khoa có các loại như sau:
- Sứ thường 1,5tr/răng
- Sứ Titan 2,8tr/răng
- Toàn sứ Zirconia 5tr/răng , bảo hành 5 năm
- Toàn sứ Cercon Ht 6tr5/răng , bảo hành 7 năm
Bạn có thể lựa chọn loại sứ với giá phù hợp bạn nhé.
Chào bác sĩ, em mất 1 cái răng thì gắn mấy cầu răng và giá bao nhiêu vậy ạ.
(Đinh Hương - Tây Ninh)
Trả lời:
Chào bạn Đinh Hương, bạn mất một răng thì làm cầu 3 răng bạn nhé. Bác sĩ sẽ khám và xem xét 2 răng kề răng mất của bạn có chắc khỏe không,để có thể làm cầu răng , nếu 2 răng bắt cầu yếu thì phải trồng implant bạn ạ . Để biết chính xác tình trạng răng và cho bạn biết rõ thì bạn nên đến trực tiếp nha khoa để bs tư vấn và khám cho bạn ạ.
Giá răng sứ tại nha khoa có các loại như sau:
- Sứ thường 1,5tr/răng
- Sứ Titan 2,8tr/răng
- Toàn sứ Zirconia 5tr/răng , bảo hành 5 năm
- Toàn sứ Cercon Ht 6tr5/răng , bảo hành 7 năm
Bạn có thể lựa chọn loại sứ với giá phù hợp bạn nhé.
Thứ Tư, 5 tháng 10, 2016
Cách khắc phục răng xỉn màu và không thẳng đều
Câu hỏi:
Chào bác sĩ , răng tôi bị vàng và không thẳng đều, tôi có đi tẩy trắng răng nhưng vẫn không trắng lên xíu nào vậy thì tôi có thể làm cách nào để răng trắng và thẳng đều được và nếu làm thì có ảnh hưởng gì nhiều không.
(Ngọc Hân - Trà Vinh)
Chào bác sĩ , răng tôi bị vàng và không thẳng đều, tôi có đi tẩy trắng răng nhưng vẫn không trắng lên xíu nào vậy thì tôi có thể làm cách nào để răng trắng và thẳng đều được và nếu làm thì có ảnh hưởng gì nhiều không.
(Ngọc Hân - Trà Vinh)
Trả lời:
Chào bạn Ngọc Hân ,
Do răng bạn bị nhiễm kháng sinh Teracyline nên mới có màu như vậy và tình trạng đó tẩy trắng răng sẽ không hiệu quả.Mình có thể bọc răng sứ để làm răng trắng và đều bạn nha.Bác sĩ sẽ mài một lớp nhỏ ở răng thật rồi bọc răng sứ bên ngoài , nên sẽ không bị ảnh hưởng gì .
Chào bạn Ngọc Hân ,
Do răng bạn bị nhiễm kháng sinh Teracyline nên mới có màu như vậy và tình trạng đó tẩy trắng răng sẽ không hiệu quả.Mình có thể bọc răng sứ để làm răng trắng và đều bạn nha.Bác sĩ sẽ mài một lớp nhỏ ở răng thật rồi bọc răng sứ bên ngoài , nên sẽ không bị ảnh hưởng gì .
Có nên đi chỉnh răng hay không?
CÂU HỎI : Có nên đi chỉnh răng hay không khi con tôi mới chỉ 10 tuổi và nhưng răng lại mọc hoi hô chỉa ra ngoài sợ càng lớn càng hô thêm. Tôi muốn dắt con đi chỉnh răng nhưng lại ngại con còn quá nhỏ. Vậy có nên đi chỉnh răng cho con không? Mong bác sĩ tư vấn giúp.
Minh Châu - TP.HCM
Trả lời:
Chào bạn Minh Châu,
Cảm ơn bạn đã quan tâm và gửi câu hỏi về cho chuyên mục Tư vấn của nha khoa quốc tế Á Âu. Với câu hỏi “Có nên đi chỉnh răng hay không?” của bạn, nha khoa quốc tế Á Âu xin trả lời như sau:
Theo như những gì bạn tả thì với trường hợp của con bạn, chúng tôi khuyên bạn nên đưa con bạn đến để thực hiện hiện chỉnh răng với phương pháp niềng răng.
Niềng răng là một trong số ít những kỹ thuật nha khoa không gây xâm lấn mô răng. Đó chỉ là cách tạo lực làm cho răng di chuyển. Dựa trên sự di chuyển này, các răng sai lệch sẽ được sắp xếp lại cho đều đặn và thẳng hàng với nhau hơn. Trường hợp con của bạn răng hơi hô có nên niềng răng không thì chúng tôi có thể trả lời rằng hiện này cháu 10 tuổi răng chưa phát triển hết, và nếu không nắn chỉnh kịp thời thì răng hô nhẹ có thể trở nên nặng hơn.
>>> Xem thêm chi tiết dịch vụ niềng răng tại : http://vienranghammat.com/nieng-rang/ và niềng răng giá bao nhiêu tại :http://vienranghammat.com/nieng-rang...ao-nhieu-tien/.
Đa số mọi người khi chọn thực hiện chỉnh răng – niềng răng đều vì mục đích tăng hiệu quả thẩm mỹ. Tuy nhiên trên thực thế, phương pháp này còn mang đến nhiều hiệu quả bất ngờ. Những lợi ích này sẽ cho bạn nhận biết được có nên đi chỉnh răng hay không.
Có nên đi chỉnh răng hay không – lợi và hại như thế nào?
Phương pháp Chỉnh răng – Niềng răng có thể khắc phục được hết tất cả những vấn đề có thể gặp do răng sai lệch gây ra cho sức khỏe răng miệng. Những lợi ích quan trọng mà niềng răng mang đến cho người chỉnh nha bao gồm:
>>> Xem thêm chi tiết tại đây : http://vienranghammat.com/co-nen-di-chinh-rang/.
Chân răng bị lõm , ê buốt là bệnh gì ?
Chào BS ạ,
Răng em 2 cái hiện tượng là không biết có phải bị mẻ không mà phía gần chân răng mỗi lần dùng móng tay cà thì có cảm giác lõm, ấn mạnh thấy tê, uống nước đá có cảm giác buốt. Em có lấy tăm xỉa răng cố ý ấn mạnh thì cảm giác tê cao hơn. Xin cho em biết hiện tượng trên là bệnh gì và cách xử lý như thế nào? Ở đâu sẽ thăm khám chữa tốt nhất ạ?
(Trung Phương – TPHCM)
BS Đoàn Khánh Ngọc:
Răng bạn bị mòn cổ răng nên bạn sẽ thấy răng có phần khuyết vào, và do mòn men răng gây lộ phần ngà răng ra nên rất dễ bị ê khi có nước,gió, vật gì tác động vào.
Mòn răng thì chỉ cần trám lại là được, không phải là điều trị phức tạp nên bạn có thể đến phòng khám nha khoa hoặc bệnh viện nào cũng được.
Trước mắt là bạn nên bỏ hẳn thói quen dùng tăm chọt vào thử vì việc này gây hại chứ không có lợi ích gì cả. Giả dụ như lớp men/ngà đã mỏng dễ vỡ rồi, bạn còn dùng tăm chọt vào mạnh thì có khi men ngà răng vỡ ra gây tổn thương tủy răng bên trong, lúc đó không chỉ trám lại mà phải lấy tủy nữa. Một khi có vấn đề, thấy khó chịu thì bạn nên đi khám bác sĩ ngay để điều trị sớm, chứ không phải lấy tăm chọt như thế không giải quyết được vấn đề gì cả nhé.
Nguồn: Nha khoa quốc tế Á Âu
Răng em 2 cái hiện tượng là không biết có phải bị mẻ không mà phía gần chân răng mỗi lần dùng móng tay cà thì có cảm giác lõm, ấn mạnh thấy tê, uống nước đá có cảm giác buốt. Em có lấy tăm xỉa răng cố ý ấn mạnh thì cảm giác tê cao hơn. Xin cho em biết hiện tượng trên là bệnh gì và cách xử lý như thế nào? Ở đâu sẽ thăm khám chữa tốt nhất ạ?
(Trung Phương – TPHCM)
BS Đoàn Khánh Ngọc:
Răng bạn bị mòn cổ răng nên bạn sẽ thấy răng có phần khuyết vào, và do mòn men răng gây lộ phần ngà răng ra nên rất dễ bị ê khi có nước,gió, vật gì tác động vào.
Mòn răng thì chỉ cần trám lại là được, không phải là điều trị phức tạp nên bạn có thể đến phòng khám nha khoa hoặc bệnh viện nào cũng được.
Trước mắt là bạn nên bỏ hẳn thói quen dùng tăm chọt vào thử vì việc này gây hại chứ không có lợi ích gì cả. Giả dụ như lớp men/ngà đã mỏng dễ vỡ rồi, bạn còn dùng tăm chọt vào mạnh thì có khi men ngà răng vỡ ra gây tổn thương tủy răng bên trong, lúc đó không chỉ trám lại mà phải lấy tủy nữa. Một khi có vấn đề, thấy khó chịu thì bạn nên đi khám bác sĩ ngay để điều trị sớm, chứ không phải lấy tăm chọt như thế không giải quyết được vấn đề gì cả nhé.
Nguồn: Nha khoa quốc tế Á Âu
Phương pháp phục hồi răng bị mất
Câu hỏi : chào bác sĩ , tôi bị mất 1 cái răng hàm, không biết có cách nào để tạo nên 1 răng mới thay thế cho răng bị mất hay không, mong bác sĩ tư vấn giúp tôi.
( Nhật Hùng - Đồng Nai)
Trả lời : chào Nhật Hùng
Đối với tình trạng mất răng thì có 2 cách để phục hồi răng mới 1 là tiến hành cắm implant 2 là làm cầu răng sứ bạn nhé, để biết được bạn có thể áp dụng phương pháp nào để phục hồi răng bị mất thì bạn nên đến gặp trực tiếp bác sĩ nha khoa để bác sĩ kiểm tra xương của bạn có thể cắm implant được không , vì có vài trường hợp nếu xương quá yếu thì mình không thể cắm implant mà phải làm cầu răng sứ .
Cắm implant
Cầu răng sứ
Thứ Ba, 4 tháng 10, 2016
Răng bị mẻ nên làm gì?
Câu hỏi : Tôi muốn hỏi răng bị mẻ thì phải làm sao để đẹp lại bình thường thưa bác sĩ
(Đan Nguyên, Ca Mau)
(Đan Nguyên, Ca Mau)
Bác sĩ Nha khoa :
Chào Đan Nguyên , tình trạng này của bạn bị lâu chưa? Răng của bạn bị mẻ nhiều hay ít?
Nếu bị mẻ thông thường, hiện tại nha khoa có áp dụng công nghệ trám răng thẩm mỹ laser tech bạn nhé,
Chào Đan Nguyên , tình trạng này của bạn bị lâu chưa? Răng của bạn bị mẻ nhiều hay ít?
Nếu bị mẻ thông thường, hiện tại nha khoa có áp dụng công nghệ trám răng thẩm mỹ laser tech bạn nhé,
Trường hợp răng bị mẻ bên góc gần nữa cái, bị mẻ gần 1 tuần thi bạn có thể trám răng,
Bằng phương pháp trám răng laser tech, nha khoa hoàn toàn có thể giúp bạn khôi phục lại chiếc răng đã bị mẻ.
- Vâng . Cám ơn bác sĩ tôi sẽ sắp xếp lịch đến khám và trám lại răng vào ngày mai .
Đăng ký:
Nhận xét (Atom)

























